來源:品源醫療時間:2026-1-28瀏覽:442
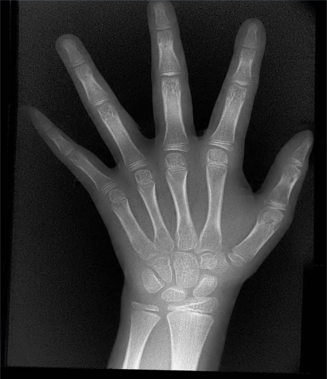
骨齡是反映兒童真實生長發育水平的關鍵指標,為相關疾病診療提供重要支撐。它可助力身高異常疾病病因診斷,支撐矮小癥等治療的監護與療效評估,還能精準評估生長發育及青春期突增狀況,為早期干預提供依據。

X射線骨齡儀適用于兒童保健科、內分泌科、兒科等多個臨床科室,可滿足不同年齡段兒童的骨齡檢測需求。無論是常規生長發育評估、身高異常篩查,還是疾病治療后的療效監測,其檢測結果都能為臨床診療提供標準化、可對比的科學數據,助力醫療機構提升診療規范化水平。


Copyright ? 2019 All Rights Reserved 版權所有 :品源醫療(江蘇)有限公司 蘇ICP備13030463號-1
蘇械廣審(文)第300618-05964號 蘇械廣審(文)第290219-05932號 蘇械廣審(文)第270614-08768號 蘇械廣審(文)第270928-08770號 蘇械廣審(文)第280327-08769號
蘇械廣審(文)第281112-08760號 蘇械廣審(文)第261228-08761號 蘇械廣審(文)第301119-08759號 輻射安全許可證編號:蘇環輻證【C0467】網絡銷售醫療器械備案編號:蘇徐械網銷備2022231號
